top of page
We make natural smiles...
so no one can even tell.
No drilling, no damage to your tooth and an instant natural result makes this a patient favourite.
We created composite bonding techniques that we teach to thousands of dentists across the world.
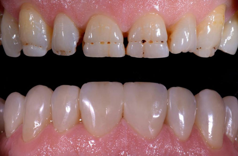
Our results below speak for themselves...
Anterior Composite Bonding
This is just a 'fancy' dental way of saying we glue and shape white plastic filling material to your teeth. The reality is that it is not easy to do well. We teach our anterior bonding techniques to other dental professionals around the world so you know you are in great hands when you see us.
We have to do the following:
1) Make sure any gum disease, infection or decay is dealt with first.
2) Pre-design the end result via an in-chair mock up and/or on 3D printed models of your teeth.
3) Ensure that the future restorations fit within your bite scheme so they do not chip or fracture.
4) Check that the colour and materials we use match your natural teeth, so the result is as harmonious as possible.
5) Prepare and clean the tooth so that there are no sharp edges and the bond is as strong as possible.
6) Layer multiple different colours to create natural and balanced colour transitions.
7) Add natural reflective texture into the material so that it reflects light the same as natural teeth.
8) Polish the surfaces and contacts to ensure you have a smooth margin and long lasting high lustre.
Please note all our anterior composite resins used are BPA free.
Types of Anterior Bonding
There are multiple types and scenarios of bonding white composite resin. There is no one type suits all modality. Everyone is different and requires a bespoke customisation depending on their needs and desires. The truth is we can pretty much create any style you wish but in order to for you to be completely happy, you need to be able to give your clinician as much feedback as possible to help achieve your goal together.
1) Anterior composite veneer.
2) Partial front tooth repair.
3) Edge bonding of worn or short teeth.
4) Closing gaps or black triangles.
COMMONLY ASKED QUESTIONS
How long does anterior composite bonding last?
It varies in every case as sometimes they just need re-polished and other times a small chip may need repaired. If you look after them, in general at least 3-6 years. All composites normally carry a minimum 12 month guarantee beyond this point it is unlikely that you are going to have a catastrophic failure unless you traumatise the area. We advise patients where appropriate to wear a night guard or retainer to help protect the teeth and maintain their positions.
It is recommended with all composite bonding (white filling veneers especially), require reconditioning and polishing every year to maintain their gloss and margins kept clean (this will be an additional cost starting from £130.00). We will go over all the finer details in your consultation and informed consent forms at your consultation appointment.
What is the general cost for anterior composite bonding?
Prices range in general from £250-500 per tooth depending on the level of complexity. We work under microscope (very high magnification to see every detail) and plan every case digitally therefore a huge amount of planning and work goes into every case. Some of the most complex cases are where we have to rebuild a lot of the tooth or close large gaps between the front teeth (called a diastema).
How do you match the colour? What is colour mapping?
This is where we take multiple polarised photographs of your natural teeth (and with the aid of specialised digital imaging software), create a custom colour palette to make sure our restoration looks invisible and blends with your natural teeth. A more simple explanation would be taking a colour sample to a paint centre and they use a computer to create a paint that will exactly match.
Is composite bonding likely to fracture?
This depends on what happens to them i.e. trauma or biting especially hard on something. At the end of the day the composite material is just a form of white (non-toxic) plastic that we glue to your teeth. Plastic is not as strong as your natural healthy teeth - therefore if your natural teeth fractured and nothing changes with regards to your bite, behaviour etc then there is a high chance this may happen again. In many instances we may recommend moving the teeth using orthodontics first followed by any whitening and then composite bonding.
What is edge bonding?
This is where you may have worn and chipped edges to your front teeth and we add the ideal length back by bonding the white composite filling onto the end of them. This must be planned very carefully as it can in some cases alter the bite and needs supervision from a dental professional. The advantage is that the bonding only occurs at the worn edges of your teeth and does not cover the whole tooth but the small amount of surface we have to glue to, the less strength we have in cross-section and increases fracture/de-bonding likelihood.
Can I whiten my teeth after composite bonding?
Yes... but any composite bonding or artificial materials in your mouth will not whiten. Therefore we advise you to whiten your teeth first to a colour you are happy with and then your dentist will match the colour of the composite to your ideal shade. Your natural teeth with fade in colour over time therefore you may need to do some top up whitening for few nights every 6-12 months. If your composite bonding is darker than your natural teeth or fades over time it may need to be replaced for a new whiter composite colour (this normally incorporates a new fee).
I have gaps and chipped edges with my front teeth... what are my options and the risks of each?
Great question... here you go:
1) Do nothing and accept the teeth the way they are.
Advantages: No cost. No dentistry carried out. You just keep living your life as you are.
Disadvantages: There is a cost for our services and we take a lot of time to get your teeth as perfect as possible. If you leave your teeth as they are, they may fracture more, wear down more and this can result in pain, infection and premature loss of tooth. Where simple composite bonding may be needed, if left, you may end up needing crowns or more invasive and expensive treatment. Teeth can move and drift over time and therefore the issue can become progressively worse making our job harder and more complex to solve.
2) Perform composite bonding.
Advantages: Normally performed very quickly (1-2 visits lasting a few hours each depending on complexity). Very rarely do we need to cut or damage your tooth underneath therefore we call the procedure 'minimally invasive'. We can normally match the colour of your teeth with the material we choose so it should look relatively invisible. Most patients feel little to no pain during or after the procedure as no drilling of your natural tooth occurs - hence this has become a very popular procedure. If you do not like the shape, length, colour or something chips of breaks - fixing it is a very simple procedure and can be done very quickly.
Disadvantage: Can be prone to chipping or fracturing. Will need regular reconditioning and replaced every 3-5 years. Colour and polish can fade over time. Margins can become stained and irritate the gums if not smooth. Can look bulky or thick if masking a darker colour underneath or layered incorrectly and not polished back. You need to find someone with a lot of experience in this field to ensure it is done correctly and ethically. Please be aware this process is NOT reversible. Once you bond composite to teeth, removing it can be very complicated and time consuming - anyone that tells you otherwise has not done it often enough and lacks the long term experience.
3) Porcelain ceramic veneers.
Advantages: These are far stronger than composite veneers. They keep their colour and shine for longer. They normally do not need to be replaced for at least 8-15 years. They normally feel smoother, thinner and cleaner than composite especially over time. We have noticed the margins around the gums are cleaner and healthier near ceramic than composite - our patients normally tell us that cleaning and flossing around them feels very smooth compared to areas with old composite fillings. They can be extremely thin and mimic natural tooth with the right technical knowledge and skills.
Disadvantage: Normally takes minimum 3-8 weeks as must be planned very carefully. Is more expensive than composite bonding (prices starting from £800.00 per tooth). Requires a mock up and prototypes made beforehand to make sure you are happy with the look of the teeth before proceeding. In many instances requires tooth preparation (i.e. we have to drill a small amount of the tooth away to create space for the veneer 0.3-1mm). This can result in post-operate sensitivity which is normally transient and settles over time. If it does not settle there is always a risk the tooth may require root canal treatment - although rare, this is a risk.
4) Orthodontics with reshaping of teeth or bonding or ceramic porcelain veneers.
Advantages: In general as dentists this is our preferred option (ask your dentist what they would do if they were you). If we move the teeth into the ideal position and do a little whitening and polishing, this normally makes our patients and us very happy. Why? Because no damage to the teeth, hardly any pain or drilling needed, it is your own teeth so the maintenance is minimal over the course of your life. Also no need to replace any bonding or veneers or crowns if none are needed in the first place. Cheaper over the long term course of ones life. If we do need to do some composite bonding or ceramic veneers it normally means that any drilling required to your natural teeth is very minimal and the outcome will be much more favourable (especially for the long-term).
Disadvantage: Normally large initially outlay cost and time needed varies between 3-18 months depending on complexity. You will invariably need a retainer some sort to be worn especially at night for the rest of your life to prevent movement of the teeth.
TOOTHWEAR & CHANGING THE BITE
Sometimes people wear their teeth down especially their canines. Once you've lost your enamel you can never get it back! So sometimes we may suggest slowly rebuilding the bite back up. The advantage of this is that is prevents further damage to your teeth, prevents fractures and the need for crowns and root canals in the future. The bite will feel a little strange for a few weeks to months but will eventually feel totally normal. They are totally invisible and made of a special composite filling material - as you can see below.
Many people do not appreciate how critical these restorations are as their previous dentist may not have mentioned it to them and you will note that these patients often have very flat teeth and crowns but we know that teeth need cusp tips to aid chewing and digestion. So if your dentist ever mentions you have tooth wear make sure you take it very seriously, as if you do not, it could not only cost you a lot to correct in the future but also lead to fractures and even premature loss of your teeth. Please be aware that not all patients are suitable for this treatment that requires careful monitoring from a dental professional and in some instances patients may require comprehensive orthodontics or full mouth rehabilitation.

BLACK TRIANGLE COMPOSITE BONDING
Sometimes you can develop these gaps between your teeth because:
i) Your teeth are triangular in shape and create these black spaces in between them.
ii) Your gums have receded.
iii) You had orthodontic or previous restorative work that has created the spaces.
Your treatment options include:
i) To leave and accept the gaps as they are.
ii) Add some white composite filling material to close the gaps.
iii) Use veneers and crowns but this can sometimes involve minor preparation of the teeth.
iv) Orthodontics to close the gaps and re-shaping the teeth from triangular to more square.

bottom of page
























