VENEERS
everything you will ever need to know

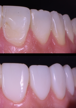
What are veneers?
They are super thin, custom-made for you shells that sit on the front surface of your teeth to improve the way they look.
What are veneers used for?
They can be used to correct discoloured or stained teeth like tetracycline staining. They can help repair worn down, chipped or broken teeth. If you have large old stained fillings, crowded teeth, gaps or mis-shaped teeth they can help repair and protect your natural healthy tooth underneath with minimal damage or sensitivity.
01235550987
What are veneers made of?
Great question! There are 2 main types that have their own sub categories. Porcelain ceramic or composite resin.
What are porcelain veneers?
Porcelain veneers are made of strong ceramic material and generally require a little bit of shaping or reduction of your teeth to create space for them. Sometimes we can do this with no drilling but most of the time we prepare the teeth under microscope to around 0.3mm (contact lens feather fine veneers) and are one of the few dentists in the country that can do this - in fact we teach it!



What are composite veneers?
These are veneers made of a weaker resin than porcelain veneers and can either be milled, 3D printed or layered directly in the mouth.
Should I have porcelain or composite veneers?
Our best advice is to send us a photo or come and have a chat. Many people want a nicer whiter smile and just need some teeth straightening and whitening. If you have heavily restored or broken teeth we would lean towards the stronger ceramics. If your teeth are generally of a good quality and position then composite may be better as we can often do this work without any damage to the teeth.

How long do they last?
We would expect porcelain ceramic veneers to last 8-15 years without any additional work needed as long as they are well looked after. With composite veneers we normally say 3-8 years and during this time they may chip or stain therefore we normally do an annual maintenance and polishing appointment to make sure they stay super clean and immaculate.
How much do dental veneers cost?
Our prices start from £250 per tooth for composite bonded veneers and £900 for porcelain ceramic veneers. The advantage our clinic has is that we can do both on the same day with our in house laboratory so you do not need to worry about bad temporaries that can stain as we can create exceptional masterpieces on the very same day.

Why choose us?
Over 17 years of experience fitting thousands upon thousands of natural looking ultra thin contact lens veneers.
5 year guarantee on all porcelain ceramic veneers*
2 year guarantee on all milled composite veneers*
Microscopic preparation of veneers to minimise damage to teeth and reduce any post operative sensitivity.
Award winning results
In house dental laboratory to produce the best quality veneers in the fastest amount of time. Same day veneers are subject to availability.
We are experts in providing eMAX, feldspathic and now zirconia extra strong veneers.
All cases are fully digital, scanned and designed on our CAD smile design software EXOCAD.
*subject to terms and conditions









